第8版:黄塘院刊
3上一版  下一版4
本版标题导航
第8版:黄塘院刊
2023年8月24日 放大 缩小 默认        
大叔颅内动脉重度狭窄
新型球囊导管 及时打通生命通道

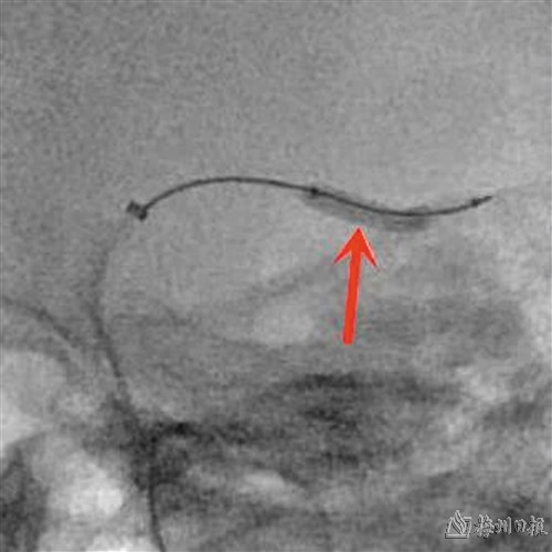
术中球囊扩张。(医院供图)

我国中老年患者中,颅内动脉狭窄的比例高达30%-50%。颅内动脉狭窄早期大多无症状,但是发展到中、重度狭窄时,患者容易出现脑梗塞,导致偏瘫、偏盲,甚至昏迷等。

近日,梅州市人民医院神经内科采用国内首发的新型导管“Fastunnel®输送型球囊扩张导管”,为一名颅内多支动脉重度狭窄的脑梗患者成功实施微创介入治疗,帮助患者成功解除颅内动脉严重狭窄问题,复通大脑的生命通道。

今年54岁的陈叔,入院前2天右侧肢体忽然觉得乏力,连正常行走都困难,同时出现言语含糊的症状,来到梅州市人民医院详细检查后发现患者左侧大脑半球多发散在梗死病灶和动脉重度狭窄,由于前段时间进行药物治疗后仍效果不佳,专家建议通过手术进行治疗。

市人民医院神经内一科主任李水彬介绍,患者存在高血压病3级(极高危)、2型糖尿病、痛风等多种基础疾病,手术风险相对较高。综合评估后决定采用新型导管Fastunnel®输送型球囊扩张导管为患者实施微创介入治疗,这是国内首款输送型球囊扩张导管,采用“球囊+微导管”一体化设计,具有“一体双能”作用,一次完成球囊预扩张、支架释放、球囊后扩张全过程。相比传统手术减少了多次器械交换步骤,简化了术中操作,提高了手术安全性。手术历时1小时顺利完成,较常规手术缩短了一半时间。

术后复查造影,堵塞的生命通道成功复通,患者生命体征平稳,康复出院了。该类新型导管的使用,让颅内狭窄介入手术治疗更简化、更安全、并发症更少。

 
 
上一篇  下一篇  
 
关闭