第5版:黄塘院刊
3上一版  下一版4
本版标题导航
第5版:黄塘院刊
2023年5月11日 放大 缩小 默认        

“一站式”手术实现心脑同治
同时解除心梗脑梗两大隐患
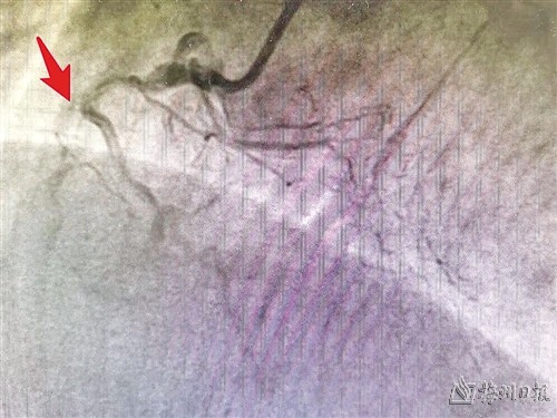
严重狭窄的冠状动脉
颈动脉狭窄段

患者出现严重血管狭窄

前段时间,梅州市人民医院心脏血管外科收治了一位74岁男性患者,详细检查发现,该患者的病情非常棘手,心脏血管以及脑部供血的两条颈动脉已经严重狭窄,同时还合并有贫血、慢性肾功能衰竭、糖尿病、高血压等多种基础疾病,面临着心梗、脑梗双重风险。

如果先处理颈动脉狭窄,择期再行冠脉搭桥手术,则心肌梗死风险大,患者很可能等不到下次手术的机会;如果先做冠脉搭桥手术,择期再进行颈动脉内膜剥脱手术,则等待第二次手术的期间患者很可能发生脑梗塞,手术团队一时陷入两难。

一台手术拆除“双弹”

针对棘手病情,市人民医院心脏血管外科刘治元副主任团队联合神经内科、麻醉科、重症医学科等多学科专家进行会诊,决定实施“心脑同治”手术,即同期实施颈动脉内膜剥脱和冠状动脉搭桥。

同时进行两种大型手术,对手术团队要求很高,对麻醉及术后重症监护也提出新的挑战,稍有不慎,都有可能引起致命后果。为将风险降至最低,手术团队术前反复讨论,推演每个细节。

据了解,整个手术用时6小时,先剥脱颈动脉内膜,打通1条脑部供血通道,解除脑梗风险,再进行心脏的冠脉搭桥手术,架起3条心脏供血桥梁,解除心梗风险。一台手术同时打通了给心脏和脑部供血的4条主要血管,完美实现了心脑同治。在医院重症监护团队的细心照护下,患者术后5天即下床活动,恢复良好,不久后康复出院。

专家介绍,冠心病和颈动脉狭窄病变属同源性疾病,都是由动脉粥样硬化引起,经常同时发生。对于颈动脉重度狭窄合并冠心病的患者,一般分两次实施手术。此次同期手术不仅使该患者免受第二次手术的痛苦,更重要的是可以减少两次手术之间发生心肌梗死或脑梗塞的可能,提高手术效果,减少手术并发症及死亡率,减轻患者负担,改善患者的生活质量。

此次梅州市人民医院成功开展“心脑同治”一站式手术,标志着医院在心脑血管疾病联合治疗上迈出了新步伐。

 
 
上一篇  下一篇  
 
关闭